!!!První úspěšné krytí naší AMI!!!
12. 8. 2014
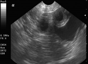
7.8.2014 jsme úspěšně zvládli první krytí naší AMI

Zde je snímek z ultrazvuku

Komentáře
Přehled komentářů
Zatím nebyl vložen žádný komentář
7.8.2014 jsme úspěšně zvládli první krytí naší AMI

Zde je snímek z ultrazvuku
